Search Medical Centers

Micris Dental Clinics

Location

Dubai, United Arab Emirates

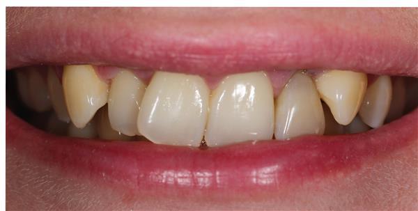
Before After Gallery - Micris Dental Clinics

Dental Veneers - Micris Dental Clinics

Before

Dental Veneers

After

Dental Veneers
  • Dental Veneers - Micris Dental Clinics
  • Dental Veneers - Micris Dental Clinics
  • Dental Braces - Micris Dental Clinics
  • Dental Braces - Micris Dental Clinics
  • Dental Fillings - Micris Dental Clinics
  • Dental Fillings - Micris Dental Clinics
  • Dental Veneers - Micris Dental Clinics
  • Dental Veneers - Micris Dental Clinics
  • Dental Veneers - Micris Dental Clinics
  • Dental Veneers - Micris Dental Clinics
  • Zirconia Bridge - Micris Dental Clinics
  • Zirconia Bridge - Micris Dental Clinics
Disclaimer:
The data provided in this page was provided by Micris Dental Clinics  or it's represetatives. last updated on Jan 23, 2025.
Please read our disclaimer. If you have found any errors or missing data, please inform us.

Copyright © 2008 - 2026 Health-Tourism.com, All Rights Reserved